This patient suffered for years with constant chipping and wearing of his front teeth. He hated his smile and was told that nothing could be done. With careful planning and coordination with our laboratory we were able to give him the smile he had always wanted with a combination of porcelain veneers and crowns.
Failing amalgam fillings are something we see routinely at hygiene re care visits. This patient wanted a more esthetic solution. In about an hour, we were able to replace these failing amalgams with direct bonded composite restorations. These restorations made the teeth healthier and the patient happier, something we stive to do daily for every patient.
This patient was presented as an emergency after a traumatic fall. After establishing the health of the remaining tooth and explaining the possible need for root canals and crowns in the future, we were able to place direct bonded composite restorations. In a little under an hour, we had a very happy patient.
While waiting for a final restoration this patient was tired of a removable flipper. Utilizing a temporary implant abutment coping we were able to shape an ideal contour for his final emergence profile and give him a fixed temporary tooth. This temporary alternative made this patient very happy.
After having a root canal at his previous dentist this patient was presented with a chipped and failing crown. Using our Cerec we were able to replace this failing crown with a new bonded porcelain crown in under two hours. No goopy impression material, no temporary crown, new tooth same day!
Another failing amalgam. Another happy patient!
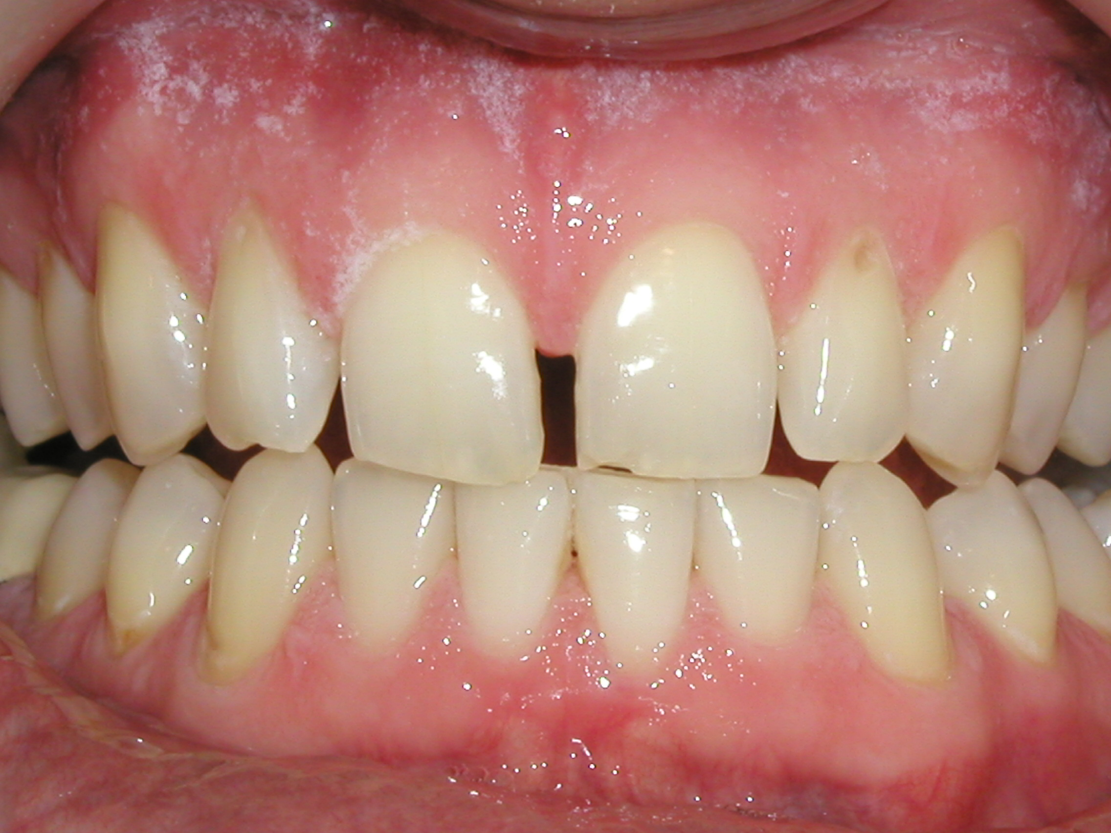
Braces as a child helped to close this gap. Failing to wear a retainer helped it open back up. More time in braces was not an option for this patient. Treating only the two front teeth would make them look too big and unnatural. Coordination with our dental laboratory and a wax mockup allowed this patient to feel comfortable with six porcelain veneers. With communication and explanation of the expected outcome of differing treatment options we were able to pick the best option for him and made another patient happy!
Its not uncommon to start a smile makeover with direct composite veneers. This patient had composite veneers for several years. She was ready for an upgrade. Six veneers later we have a longer lasting more predicable solution, and another happy patient.
Another gap case. Same results after six porcelain veneers.
A true smile makeover. This patient had multiple cosmetic and restorative needs. With proper planning and communication, we placed a combination of porcelain veneers, crowns, and a bridge to restore her entire upper arch. The picture says it all, great case, happy patient!
























